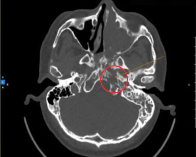
Kết quả nội soi tại Phòng khám Đa khoa Tâm Anh Quận 7 cho thấy khối u lấp đầy hốc mũi trái, che kín cửa mũi sau và vùng hòm kèm chảy máu. Ảnh CT ghi nhận tổn thương lan vào lấp đầy xoang sàng, xoang trán, xoang bướm trái, vòm mũi họng hai bên.
ThS.BS.CKI Trương Tấn Phát, Trưởng Đơn vị Tai Mũi Họng, cho biết ông Lăng bị viêm mũi xoang xuất tiết, chỉ định sinh thiết u hốc mũi do nghi ngờ ác tính. Kết quả sinh thiết là ung thư hốc mũi, dạng biểu mô tế bào vảy. Bác sĩ phẫu thuật cắt khối u ác tính và xương bị xâm lấn cho người bệnh.

Ung thư mũi chủ yếu được điều trị bằng phẫu thuật nội soi cắt trọn khối u cùng mô xung quanh. Dựa trên kết quả giải phẫu mô bệnh học, bác sĩ xác định hướng điều trị tiếp theo (hóa, xạ trị).
Theo bác sĩ Phát, bệnh được phát hiện và điều trị càng sớm, tiên lượng khỏi bệnh cao. Tỷ lệ sống sau 5 năm của ung thư hốc mũi – xoang cạnh mũi giảm dần theo mức độ lan rộng, lần lượt là 82% khi u còn khu trú, 52% khi lan đến hạch lân cận và 42% khi đã di căn xa.

Triệu chứng ban đầu của ung thư hốc mũi thường không đặc hiệu, dễ nhầm lẫn với viêm xoang, polyp mũi thông thường như nghẹt mũi, chảy máu mũi, giảm khứu giác. Để chẩn đoán ung thư cần khám lâm sàng, nội soi tai mũi họng, xét nghiệm chẩn đoán hình ảnh (chụp MRI, CT…), sinh thiết.
U hốc mũi đa số lành tính (polyp mũi, u nhầy mũi xoang, u xơ vòm họng…), thường phát triển chậm và ít nguy hiểm, tuy nhiên vẫn cần theo dõi và điều trị kịp thời. U lành tính có thể diễn tiến thành ung thư khi gặp một số nguy cơ cao như tiếp xúc thường xuyên với hóa chất, bụi gỗ, da, khói thuốc lá, nhiễm virus HPV và yếu tố di truyền.
Bác sĩ Phát khuyên người bệnh nên khám định kỳ, loại bỏ sớm các khối u bất thường và tránh tiếp xúc với yếu tố nguy cơ ngăn khả năng tiến triển thành ung thư. Khi xuất hiện triệu chứng bất thường ở tai, mũi, họng như nghẹt mũi không khỏi, mất khứu giác, chảy máu mũi…, người bệnh nên kiểm tra để bác sĩ chẩn đoán, điều trị kịp thời.
Uyên Trinh
| Độc giả đặt câu hỏi về bệnh tai mũi họng tại đây để bác sĩ giải đáp |