Ngày 3/11, bác sĩ Mai Văn Lực, khoa Phẫu thuật Thận Tiết niệu – Nam học, Bệnh viện E, cho biết bệnh nhân đến khám vì cảm thấy mệt mỏi, giảm ham muốn tình dục và rối loạn cương dương. Ban đầu, anh ngại đi khám, cho rằng do áp lực công việc và khó khăn kinh tế gây yếu sinh lý.
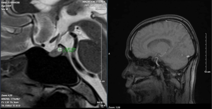
Kết quả xét nghiệm thấy nồng độ hormone prolactin trong máu tăng cao bất thường – dấu hiệu tuyến yên đang bị rối loạn hoạt động. Dựa trên kinh nghiệm lâm sàng, bác sĩ Lực tư vấn chụp MRI tuyến yên, kết quả xác nhận bệnh nhân có u tuyến yên. Khối u lành tính nằm ngay vùng não nhưng đang “khống chế” toàn bộ hệ sinh dục, gây tăng tiết hormone prolactin, ức chế trục nội tiết quan trọng, dẫn đến suy giảm ham muốn và rối loạn cương dai dẳng.
Bệnh nhân được chuyển sang khoa Phẫu thuật Thần kinh để tiếp tục điều trị khối u tuyến yên, đồng thời bổ sung testosterone ngoại sinh nhằm khôi phục lại chức năng sinh dục bị suy giảm.

Theo bác sĩ Lực, bệnh nhân trẻ đến khám vì “trục trặc chăn gối” nhưng phát hiện nguyên nhân thực thể khác không hiếm, đặc biệt ở nhóm 30-40 tuổi – độ tuổi sung sức nhất, ít ai nghĩ rối loạn cương lại xuất phát từ u não. Nhiều nam giới đối diện vấn đề thầm kín thường tự ti, âm thầm chịu đựng hoặc đổ lỗi cho stress, tuổi tác, nên trì hoãn khám. Khi xét nghiệm chuyên sâu, chỉ số prolactin tăng vọt, gấp hơn hai lần bình thường – dấu hiệu nguy hiểm.
Tuyến yên nằm ở đáy não (phía sau mũi) có vai trò điều hòa quá trình sản xuất hormone từ các tuyến khác như tuyến thượng thận, tuyến giáp. Tuyến yên sản xuất các loại hormone như hormone tăng trưởng, kích thích vỏ thượng thận, tuyến giáp và hormone prolactin có tác dụng tăng tiết sữa.
U tuyến yên là khối u lành tính (không phải ung thư), không lan sang các cơ quan khác của cơ thể. Khi tăng kích thước, khối u này gây áp lực lên các cấu trúc gần đó, dẫn đến giảm thị lực, thiếu hụt hormone hoặc tăng tiết hormone. U chèn ép giao thoa thị giác (nơi hai thần kinh thị giác giao nhau) dẫn đến khiếm khuyết về trường thị giác như mất thị lực ngoại vi (mất thị lực khi nhìn nghiêng) hoặc sụp mi, liệt cơ mắt và một số thần kinh mặt.
Nếu khối u tuyến yên làm mô bị tổn thương có thể dẫn đến một hoặc nhiều vấn đề thiếu hụt hormone tuyến yên. Lúc này, hoạt động của tuyến yên kém đi dẫn đến suy tuyến yên, gây ra những triệu chứng khác nhau như suy sinh dục, suy giáp, suy tuyến thượng thận.
Nguyên nhân chính xác của bệnh chưa được xác định, tuy nhiên một số u tuyến yên có liên quan đến những thay đổi ngẫu nhiên hoặc đột biến trong gene, một số bệnh lý di truyền nhất định. Triệu chứng u tuyến yên không đặc trưng, tương tự biểu hiện của các căn bệnh khác. Ngoài ra, u có tốc độ phát triển rất chậm nên thường được phát hiện muộn.
Bác sĩ khuyến cáo bất kỳ thay đổi nào của cơ thể, dù là “chuyện khó nói” như rối loạn cương, giảm ham muốn, mệt mỏi kéo dài, đều cần đi khám ngay. Kiểm tra sức khỏe tổng quát, đặc biệt nội tiết tố khi có biểu hiện bất thường là điều cần thiết.
Thúy Quỳnh